人工関節置換術について

人工関節置換術について

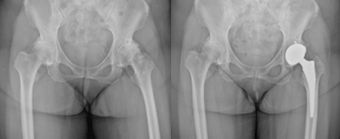
変形性関節症や骨壊死などによって傷んだ関節の表面を、人工の関節に置き換える手術です。
この手術により、長年続いていた関節の痛みが大幅に軽減され、生活の質(QOL)の改善が期待できます。

受診のご案内

手術が必要と聞くと不安に感じる方もいらっしゃるかと思いますが、人工関節置換術は、長年続いた関節の痛みから解放され、再び活動的な生活を送るための有効な選択肢です。
まずは外来で、医師にご自身の状態や希望についてご相談ください。丁寧な診察を行い、最適な治療計画を一緒に考えていきましょう。

Adoption of related facilities医療法人社団保健会の求人について

人材募集センター 人材募集センター

Recruit谷津保健病院の採用情報

谷津保健病院では、良質でより高いレベルの医療サービスの提供のため、
様々な分野のスタッフを募集しております。

詳しくみる

トップに戻る