足の外科外来(専門外来)
足の外科外来(専門外来)
足の外科外来は、足関節(足首)から足の指先にかけて生じる痛み、変形、外傷を専門的に診療する外来です。
「長く続く足の裏の痛み」「親指の変形(外反母趾)で靴選びに困っている」「足首の古傷が原因で関節が痛む」など、足のトラブルは日常生活における歩行や運動機能に直結し、生活の質(QOL)を大きく低下させます。
当外来では、患者さん一人ひとりのライフスタイルや活動性を考慮し、保存療法(靴・インソール指導)から、手術(外反母趾手術や人工関節置換術など)まで、最適な治療法を提供します。
診療を行っている主な疾患
当外来では、足関節と足部の疾患に対応しています。
足関節~足部の変形・痛み
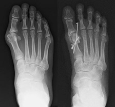
外反母趾:足の親指が外側に曲がる変形 強剛母指:親指の付け根の関節が変形し、硬くなって痛む疾患 変形性足関節渉:外傷後や加齢により足関節の軟骨がすり減り、痛みや可動域の制限が生じる疾患 関節リウマチによる足部変形 など当科の特長と主な取り組み
当外来では、足の機能と形態を総合的に診断し、患者さんの回復後の生活を見据えた治療計画を立案します。1.保存療法と専門的な指導
軽度から中等度の疾患に対しては、まず保存療法を徹底します。 適切な靴の指導や、足のアーチをサポートするオーダーメイドのインソール(足底挿板)の作成指導を行い、痛みや変形の進行予防を図ります。 足の筋力強化を目的とした運動療法(ホーマン体操、タオルギャザー運動など)を指導します。3.変形性足関節症への専門的治療
変形性足関節症に対し、薬物療法やインソールで改善しない場合は手術を検討します。当院では、足関節を固定する足関節固定術や、関節の動きを温存できる人口足関節置換術に対応しています。 人工関節に置き換えることで、長年続いていた関節の痛みが大幅に軽減され、歩行能力や日常生活の質(QOL)の改善が期待できます。

スタッフ紹介
熊原 遼太郎 くまはら りょうたろう
| 役職 | 整形外科医長 |
|---|---|
| 資格 |
日本整形外科学会 専門医・脊椎脊髄病認定医 日本スポーツ協会公認 スポーツドクター 運動器リハビリテーション認定医 |
| 専門 | 外傷一般、脊椎外科、足の外科 |
Adoption of related facilities医療法人社団保健会の求人について
人材募集センター
