脊椎圧迫骨折について
脊椎圧迫骨折について
脊椎圧迫骨折は、背骨(椎体)が押しつぶされるように変形してしまう骨折です。
主な原因
骨粗鬆症:高齢の方では、尻もちをついた、重いものを持ち上げた、体をひねったといった軽微な外力でも発生することがあり、骨粗鬆症による病的骨折の一種にあたります。 その他の原因:転移性骨腫瘍による病的椎体骨折や、交通事故などの強い衝撃による外傷性骨折など、他の原因で起こる場合もあります。治療について
治療法は、症状の程度や骨折の型、全身状態などによって異なります。
当院では、患者さんの状態を総合的に評価し、次のような治療を組み合わせて行っています。
保存療法(外来治療):痛み止めの内服やコルセットによる装具療法 入院治療:安静・リハビリテーションによる回復支援 手術治療:症状や骨折の状態に応じて、経皮的椎体形成術(BKP)などの低侵襲手術を実施
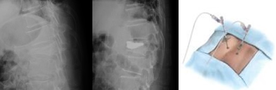
BKP(経皮的椎体形成術)とは
BKPは、体への負担が少ない先進的な治療法です。
つぶれてしまった椎体に5㎜程度の小さな傷から細い針を挿入し、その針先から風船を膨らませて骨の形を戻します。
その後、医療用のセメントを注入して固定する手術です。
手術は約30分程度の時間で終了します。


BKPの特長と期待される効果
この治療法は、長期間の安静が必要だった従来の治療法と比べて、患者さんの身体的、精神的負担を大きく軽減することが期待されます。
痛みの即効的な軽減:骨折した部分を内部から安定させるため、手術後すぐに痛みの緩和が期待できます。 早期回復:多くの場合、手術翌日から歩行が可能となり早期の離床と社会復帰が期待されます。 身体への負担が少ない:5㎜程度の小さな傷で行うため、体への負担が少なく、ご高齢の方にも適した治療法です。
【ご注意】治療法のい選択にあたっては、骨折の状態や全身の健康状態を総合的に評価し、最も適した方法を医師が提案します。
Adoption of related facilities医療法人社団保健会の求人について
人材募集センター